Los mejores 18 dentistas de Mexico City
Diego Hernández
• Actualizado: 2024-07-24Descubre nuestra lista seleccionada cuidadosamente de los mejores dentistas de Mexico City, compilada a partir de una extensa investigación en sitios web y blogs de renombre. Explore opciones destacadas como OrtoDental México, Dentalisima Dentista Clínica Dental Brackets, Clínica Dental AmsterDent, Ideal Dental (Dental Tourism), DentalCrea Clínica Dental. ¡Vamos a explorar juntos!
Tabla de contenidos
- 1. OrtoDental México
- 2. Dentalisima Dentista Clínica Dental Brackets
- 3. Clínica Dental AmsterDent
- 4. Ideal Dental (Dental Tourism)
- 5. DentalCrea Clínica Dental
- 6. Clínica Dental Smile too
- 7. Dentistas DF
- 8. KEMMClinic
- 9. Clínica Dental Dr. César Pérez Ruiz - Cirujano Dentista en Ciudad de Mexico, CDMX
- 10. Dentology Dental Boutique - Dentista en Polanco, Ciudad de México
- 11. Clínica DENTAL - dental
- 12. Dental Holbein
- 13. Dentista en CDMX Beamann Hobbs
- 14. OR Clínica Dental
- 15. Dr. Raúl Méndez Cifuentes, Dentista - Odontólogo
- 16. Dental Implant Center Mexico
- 17. International Dental Clinic, Mexico City
- 18. DENTISTAS MÉXICO D F
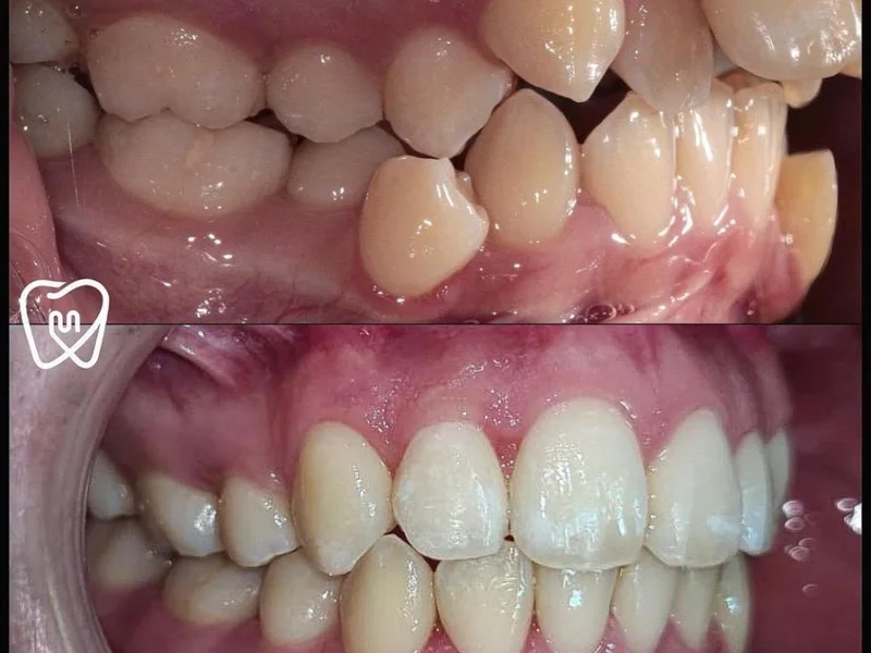
1.OrtoDental México
¡OrtoDental México, la sonrisa que estabas esperando! Descubrí OrtoDental México por recomendación y mi sorpresa fue mayúscula. Su atención es inigualable, me trataron como si fuera de la familia. Explicaron mi tratamiento con claridad y detalle, y me propusieron exactamente lo que necesitaba. Estoy encantado y no dudo en recomendarlos. Mi tratamiento continuará aquí, sin duda.
Hace año y medio que mi esposo y yo comenzamos nuestro tratamiento con Invisalign y puedo asegurar que ha sido la mejor inversión de nuestras vidas. Queremos agradecer al equipo de OrtoDental, al Dr. Héctor, a la Dra. Alejandra y a la Dra. Adriana, ¡son los mejores!
Hace año y medio que mi esposo y yo comenzamos nuestro tratamiento con Invisalign y puedo asegurar que ha sido la mejor inversión de nuestras vidas. Queremos agradecer al equipo de OrtoDental, al Dr. Héctor, a la Dra. Alejandra y a la Dra. Adriana, ¡son los mejores!
2.Dentalisima Dentista Clínica Dental Brackets
Tu sonrisa, nuestra pasión.
¡Dentalísima, la mejor clínica dental que jamás visitarás! Nuestro equipo de dentistas expertos ofrece un servicio excepcional y precios justos, garantizando una experiencia inigualable. En tan solo una semana, transformaremos tu sonrisa con limpieza, obturación de caries y blanqueamiento dental.
¡No busques más la excelencia dental! En Dentalísima, nuestro compromiso es brindarte la sonrisa perfecta que mereces. Visítanos hoy y descubre por qué somos los favoritos de innumerables pacientes satisfechos. ¡Agenda tu cita ahora y experimenta la diferencia!
¡No busques más la excelencia dental! En Dentalísima, nuestro compromiso es brindarte la sonrisa perfecta que mereces. Visítanos hoy y descubre por qué somos los favoritos de innumerables pacientes satisfechos. ¡Agenda tu cita ahora y experimenta la diferencia!
3.Clínica Dental AmsterDent
¡AmsterDent, la clínica dental de última generación que te dejará con una sonrisa!
En AmsterDent, nuestra moderna clínica y nuestro equipo de expertos dentistas te brindarán una experiencia dental inigualable. Nuestras instalaciones impecables y nuestro estacionamiento exclusivo para pacientes garantizan tu comodidad y seguridad. Somos conocidos por nuestra atención personalizada, donde nuestros amables doctores te guían a través de cada procedimiento con claridad y paciencia. Sus habilidades excepcionales y su compromiso con tu salud bucal te darán tranquilidad y confianza. AmsterDent no solo se centra en tratamientos dentales efectivos, sino que también prioriza tu bienestar, ofreciéndote el mejor cuidado posible. ¡Ven a visitarnos y experimenta la diferencia AmsterDent hoy mismo!
En AmsterDent, nuestra moderna clínica y nuestro equipo de expertos dentistas te brindarán una experiencia dental inigualable. Nuestras instalaciones impecables y nuestro estacionamiento exclusivo para pacientes garantizan tu comodidad y seguridad. Somos conocidos por nuestra atención personalizada, donde nuestros amables doctores te guían a través de cada procedimiento con claridad y paciencia. Sus habilidades excepcionales y su compromiso con tu salud bucal te darán tranquilidad y confianza. AmsterDent no solo se centra en tratamientos dentales efectivos, sino que también prioriza tu bienestar, ofreciéndote el mejor cuidado posible. ¡Ven a visitarnos y experimenta la diferencia AmsterDent hoy mismo!
4.Ideal Dental (Dental Tourism)
**Versión mejorada:** ¡Descubre la excelencia dental con Ideal Dental! Nuestros expertos dedicados te brindan atención personalizada y tratamientos innovadores para transformar tu sonrisa. Olvídate del dolor y la incomodidad durante tus procedimientos; nuestro equipo se enfoca en garantizar tu comodidad y satisfacción. Con años de experiencia y tecnología de punta, estamos comprometidos a brindarte una experiencia dental excepcional.
No solo mejoramos tu sonrisa, sino que también cuidamos tu bolsillo. Ofrecemos presupuestos claros y transparentes para que tomes decisiones informadas. Ideal Dental es tu opción confiable para tratamientos dentales de primer nivel a precios accesibles. ¡Agenda tu cita hoy y experimenta la diferencia!
No solo mejoramos tu sonrisa, sino que también cuidamos tu bolsillo. Ofrecemos presupuestos claros y transparentes para que tomes decisiones informadas. Ideal Dental es tu opción confiable para tratamientos dentales de primer nivel a precios accesibles. ¡Agenda tu cita hoy y experimenta la diferencia!
Leer más: Los mejores 38 cafeterías de Mexico City
5.DentalCrea Clínica Dental
¡Descubre el arte de la odontología con DentalCrea Clínica Dental! Desde hace 8 meses, la Dra. Karina Riera ha transformado mi sonrisa con su tratamiento ortodóncico excepcional. Su atención personalizada, claridad en las explicaciones y clínica de vanguardia han hecho de esta experiencia un sueño.
Sumérgete en un ambiente de confianza y excelencia en DentalCrea. El Dr. Bernardo Seijas es un profesional consumado, siempre amable y dedicado a brindar la mejor atención. Su compromiso con la salud bucal y su destreza técnica te inspirarán tranquilidad absoluta. ¡Regálate una sonrisa radiante y experimenta la diferencia DentalCrea hoy mismo!
Sumérgete en un ambiente de confianza y excelencia en DentalCrea. El Dr. Bernardo Seijas es un profesional consumado, siempre amable y dedicado a brindar la mejor atención. Su compromiso con la salud bucal y su destreza técnica te inspirarán tranquilidad absoluta. ¡Regálate una sonrisa radiante y experimenta la diferencia DentalCrea hoy mismo!
6.Clínica Dental Smile too
¡Experimente una sonrisa radiante con Clínica Dental Smile Too!
Nuestra moderna clínica, ubicada estratégicamente para su comodidad, cuenta con un equipo cálido y profesional listo para atender sus necesidades dentales con una sonrisa. Ingrese a un ambiente prístino y esterilizado, donde la tecnología de vanguardia se encuentra con la atención personalizada. Bajo la hábil guía del Dr. Arturo, quien domina el inglés con fluidez, disfrutará de consultas transparentes y tratamientos integrales diseñados para transformar su sonrisa de buena a espectacular.
Nuestra moderna clínica, ubicada estratégicamente para su comodidad, cuenta con un equipo cálido y profesional listo para atender sus necesidades dentales con una sonrisa. Ingrese a un ambiente prístino y esterilizado, donde la tecnología de vanguardia se encuentra con la atención personalizada. Bajo la hábil guía del Dr. Arturo, quien domina el inglés con fluidez, disfrutará de consultas transparentes y tratamientos integrales diseñados para transformar su sonrisa de buena a espectacular.
7.Dentistas DF
¡Experimenta la excelencia dental en la Ciudad de México!
Dentistas DF te brinda una atención personalizada y profesional, poniendo el bienestar de tus dientes en primer lugar. Nuestro equipo de expertos, incluido la talentosa Dra. Alvarado, se dedica a brindar un servicio integral que aborda todas tus necesidades dentales. La Dra. Alvarado es reconocida por su excepcional delicadeza, paciencia y habilidad para explicar claramente los procedimientos, lo que garantiza una experiencia dental sin preocupaciones. ¡Agenda tu cita hoy y descubre la diferencia que puede hacer una atención dental excepcional!
Dentistas DF te brinda una atención personalizada y profesional, poniendo el bienestar de tus dientes en primer lugar. Nuestro equipo de expertos, incluido la talentosa Dra. Alvarado, se dedica a brindar un servicio integral que aborda todas tus necesidades dentales. La Dra. Alvarado es reconocida por su excepcional delicadeza, paciencia y habilidad para explicar claramente los procedimientos, lo que garantiza una experiencia dental sin preocupaciones. ¡Agenda tu cita hoy y descubre la diferencia que puede hacer una atención dental excepcional!
8.KEMMClinic
KEMMClinic: Atención excepcional y tranquilidad inigualable En KEMMClinic, la seguridad es nuestra máxima prioridad. Cada miembro de nuestro experimentado equipo está equipado con auriculares, lo que permite una comunicación constante con el personal de vigilancia. Además, nuestros guardias de seguridad están altamente entrenados y portan armas de fuego visibles para garantizar la protección de nuestros pacientes.
Nuestro servicio es inigualable, pero accesible. Instalaciones impecables con aire acondicionado brindan un ambiente acogedor, mientras que nuestros médicos y personal brindan una atención excepcional. Desde el momento en que ingreses, te sentirás seguro y bien cuidado. ¡Confía en KEMMClinic para una experiencia médica excepcional que transformará tu vida!
Nuestro servicio es inigualable, pero accesible. Instalaciones impecables con aire acondicionado brindan un ambiente acogedor, mientras que nuestros médicos y personal brindan una atención excepcional. Desde el momento en que ingreses, te sentirás seguro y bien cuidado. ¡Confía en KEMMClinic para una experiencia médica excepcional que transformará tu vida!
Leer más: Los 28 bares de Mexico City
9.Clínica Dental Dr. César Pérez Ruiz - Cirujano Dentista en Ciudad de Mexico, CDMX
**Clínica Dental Dr. César Pérez Ruiz: Excelencia en Odontología** ¡Sonría con confianza con la Clínica Dental Dr. César Pérez Ruiz! Nuestros expertos cirujanos dentistas en Ciudad de México ofrecen una atención excepcional que se adapta a sus necesidades únicas. Desde el momento en que nos contacta, nos esforzamos por brindarle una experiencia cómoda y eficiente. Programe una cita hoy y experimente la diferencia que marca nuestra dedicación a la salud bucal.
**Atención de Emergencia Infantil: Cuidado Compasivo** Entendemos la importancia de la atención dental de emergencia, especialmente para los niños. Nuestro equipo está capacitado para manejar situaciones urgentes con rapidez y sensibilidad. En caso de una emergencia, no dude en contactarnos. Priorizaremos la atención de su hijo y brindaremos un tratamiento integral para restaurar su salud bucal y aliviar su malestar.
**Atención de Emergencia Infantil: Cuidado Compasivo** Entendemos la importancia de la atención dental de emergencia, especialmente para los niños. Nuestro equipo está capacitado para manejar situaciones urgentes con rapidez y sensibilidad. En caso de una emergencia, no dude en contactarnos. Priorizaremos la atención de su hijo y brindaremos un tratamiento integral para restaurar su salud bucal y aliviar su malestar.
10.Dentology Dental Boutique - Dentista en Polanco, Ciudad de México
¡Descubre Dentology Dental Boutique, la clínica dental de referencia en Polanco, Ciudad de México! Aquí, la salud bucal se fusiona armoniosamente con la estética, brindándote la sonrisa radiante y saludable que siempre has deseado. Nuestros expertos dentales altamente calificados combinan su destreza técnica con un profundo compromiso con tu bienestar, garantizando tratamientos integrales que no solo protegen tus dientes, sino que también realzan tu belleza natural.
Déjate envolver por la cálida atención de nuestro equipo, donde los más pequeños son tratados con especial ternura y cuidado. En Dentology Dental Boutique, tu satisfacción es nuestra máxima prioridad. ¡Agenda tu cita hoy y vive la experiencia de una odontología excepcional que transformará tu sonrisa y elevará tu bienestar bucal a nuevos niveles!
Déjate envolver por la cálida atención de nuestro equipo, donde los más pequeños son tratados con especial ternura y cuidado. En Dentology Dental Boutique, tu satisfacción es nuestra máxima prioridad. ¡Agenda tu cita hoy y vive la experiencia de una odontología excepcional que transformará tu sonrisa y elevará tu bienestar bucal a nuevos niveles!
11.Clínica DENTAL - dental
¡Descubre la Clínica DENTAL, tu oasis dental en el corazón de la Ciudad de México! A tan solo unos pasos del metro Allende, en una ubicación privilegiada cerca del Eje Central y a 4 calles del emblemático Zócalo, te ofrecemos un acceso sin igual.
Asciende cómodamente a nuestro primer piso a través de nuestro ascensor o utilizando las escaleras. Encontrarás un espacio moderno y acogedor, donde nuestro equipo de expertos brindará atención personalizada a cada una de tus necesidades dentales. Desde limpiezas hasta tratamientos avanzados, estamos comprometidos a ofrecerte una experiencia excepcional que superará tus expectativas.
Asciende cómodamente a nuestro primer piso a través de nuestro ascensor o utilizando las escaleras. Encontrarás un espacio moderno y acogedor, donde nuestro equipo de expertos brindará atención personalizada a cada una de tus necesidades dentales. Desde limpiezas hasta tratamientos avanzados, estamos comprometidos a ofrecerte una experiencia excepcional que superará tus expectativas.
12.Dental Holbein
13.Dentista en CDMX Beamann Hobbs
14.OR Clínica Dental
15.Dr. Raúl Méndez Cifuentes, Dentista - Odontólogo
16.Dental Implant Center Mexico
17.International Dental Clinic, Mexico City
18.DENTISTAS MÉXICO D F
Publicaciones sugeridas
















